Seventeen-year-old Matthew of Edmond, OK decided to straighten his teeth with braces. He recently shared with us what his experience with orthodontic treatment was like and how having straight teeth has impacted his life.
Orthodontic Associates: Why did you decide to get orthodontic treatment?
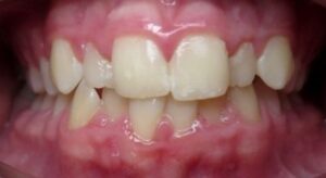
Matthew: Crowded teeth apparently runs in my family, and my teeth were pretty crooked!
Before
How did orthodontic treatment impact your life?
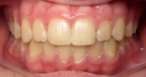
Mostly I just feel more confident. I can’t imagine my life with my old teeth! Everyone says I look so much older with my braces off, and now, I am proud of how my teeth look.
After
How has treatment impacted how you feel about yourself?
A ton. I know I will benefit from having braces my entire life.
What was your experience like with us? What advice do you have for other teens who are about to get treatment?
Do it! It’s definitely worth it. And, don’t forget to wear your retainer like they say. Your teeth really do move if you don’t.
Thank you Orthodontic Associates for always being so nice and patient.
And thank YOU Matthew for choosing us as your orthodontist! We love giving you a smile that you love! Best part of our job.

